By Ambassador Kathryn Dove
As the year ends, I find myself, like many others, reflecting on all the events in my life that happened over the past twelve months. Accomplishments and shortfalls, fun times and bad times, goals met and goals still left on the table, rock rolls conquered, and skinnies that have ended poorly. Having just ended my bike season with a wrist fracture on said skinny a few weeks ago it could be easy to let that injury overshadow the rest of the year. Still, with even just a short amount of time spent reflecting on the year as a whole, I can’t help but be thankful for the immensely more significant amount of joy that bikes have brought to my life over the past three hundred and sixty-five days. In fact, gratitude itself is what has helped me reach this conclusion. In other words, being thankful in the face of hardship or disappointment goes a long way toward getting past that barrier. Gratitude builds resilience.
I got the bike season off to what I thought would be a great start with a trip to Madeira, Portugal in February which kept me motivated to ride all winter, far more than I ever had in previous winters. If you read my trip report about this adventure then you probably already know that we timed this one perfectly wrong. A huge storm kept us from flying in for four days and when we finally did make it to the island of Madeira we were treated to the wettest conditions I’ve ever had the pleasure of riding my bike in. Just imagine riding your bike down an actively flowing river bed and that will paint an accurate picture of the majority of our riding. On paper, it would look like the biggest disappointment one could think of. After multiple years without international travel we finally get to fly across the world to ride bikes (which is not cheap) and end up spending way too much time in airports and then riding in crazy wet conditions but honestly, every time I think about this trip, I immediately smile and have only positive memories associated with it. I wouldn’t take it back for anything.
When I try to think more about what specifically was so positive I realize that it’s the group I was traveling with that made the experience so fun. My husband Jackson and our friends David, Fumi, Kyle, Shanon, and Phil made up our travel group, and together we got to experience the ups and downs of this crazy adventure. I’m so grateful to have these guys as friends and in general to have friends who want to go on crazy bike adventures with me. Many times I reflect on what has helped my riding progress and I often come to the realization that it’s improved because of the people that I get to ride with. I’m incredibly lucky to have a group of amazing and talented friends in my life that help me continue to push myself on the bike.
Group shot in Madeira. Photo Credit: Rui Sousa
There was another challenging but rewarding event from 2022 that reminded me of my gratitude for the friends that I have because of bikes. In September I was able to participate in the Rapha Prestige Ride in Bellingham, WA on team Turnin’ and Fernin’ with my friends Lacy, Gretchen, and Jordan. This event is a giant team ride in which all team members need to ride the entire course together and still be friends at the end of it. The course was no small feat and ended up being 46 miles with 8500’ of elevation, possibly the biggest ride I have ever done. One of the climbing segments was called Sick Joke and after finally making it up this part I was left with no doubts about the reason behind the name. By the end of this ride, tears were shed, walls were hit, pickle juice was chugged, and burritos and many gummy snacks were consumed, but we all made it together as one team and more importantly still as friends. Once again I’m left feeling incredibly grateful to have these amazing humans as friends in my life as well as many others who would sign up for a type two adventure like this one in an instant.
Rapha Prestige photos // Ian Collins
2022 was also filled with many bike races which came with their fair share of both success and disappointment. My overall goal for the year was to move up to a more competitive class in both enduro and downhill racing which for me was easier said than done. I felt comfortable setting this goal based on the number of top five results that I had achieved racing in the expert/cat 1 classes over the past few years, but I had to be reminded that, at least for me, I tend to go back to the bottom of the pack when I move up categories. This was quickly realized with a last-place finish at the opening enduro of the Race Cascadia series on my home trails of Tiger Mountain, WA at the end of April. Granted I had two fairly big crashes on the fourth stage of the race so it’s possible that I could have achieved a better result if those hadn’t happened, but even without those, I would have still ended up towards the slower end of the pro women.
While I would love to be the sort of rider who goes from zero to one hundred in regards to their progress, and believe me I know some riders who are like this, I know that it’s just not who I am. I have always progressed slowly but steadily in all aspects of my riding and thankfully I have enough stubbornness to stick with something like bike racing despite all of the last-place finishes that I have gotten over the years because I am so damn goal oriented. I’m also grateful for other reasons that I stick with things like bike racing including getting the opportunity to race with other women that inspire me to push myself to be a better rider. For example at that same race in April I got the opportunity to ride with my friend Jocelyn who recently had a baby. I can’t even imagine the physical and mental challenges that one would have to go through in order to return to competitive mountain bike racing after going through pregnancy, delivery, and recovery from childbirth. Watching Jocelyn crush it on the downhills, which I saw up close and personal when she passed me while I was on the side of the trail from one of the nice crashes that I had, leaves me inspired to get back on the bike and keep pushing. In the end, I used that race to help remind me to set realistic goals and I bounced between expert and pro for the remainder of the enduro season and continued in cat 1 for downhill. As the last downhill race of the NW Cup series approached in September I struggled to feel confident enough to move up to pro so I reached out to some friends that I race with for advice on their experience with it. Both friends strongly encouraged me to move up for the last race and I am grateful to both of them for their advice. I managed to have a clean race weekend and even ended up with a fourth-place finish that I’m truly proud of.
NW Cup Finals. Photo credits: Brett Angel @brett_angel and Jenna Norris
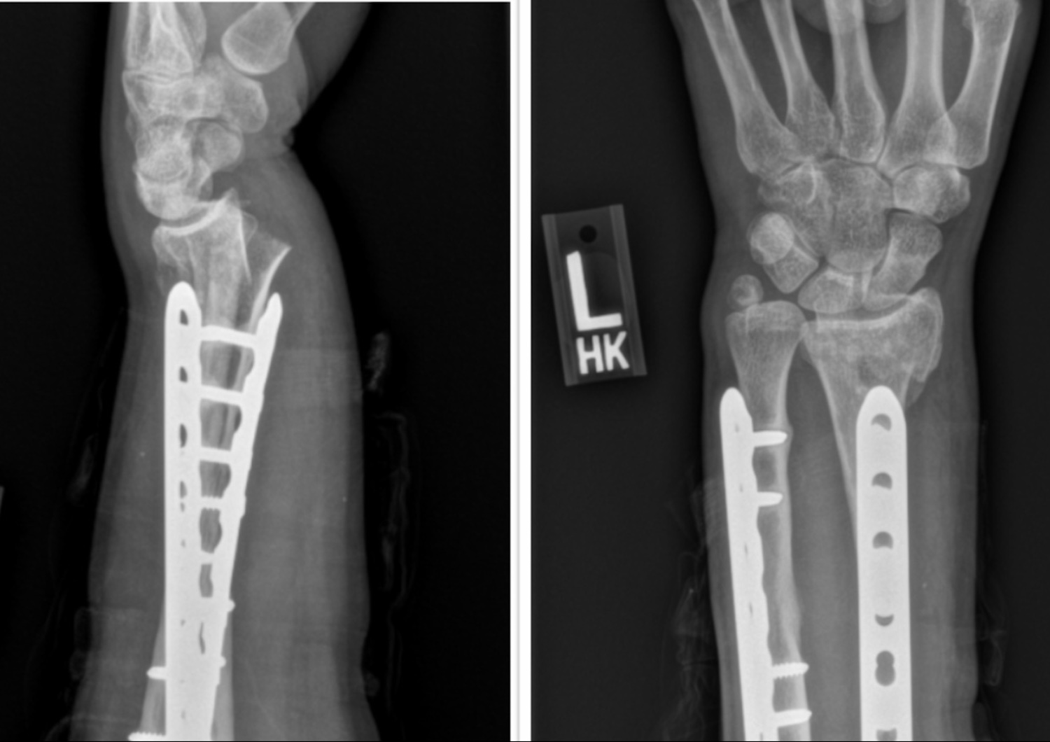
Now back to the broken wrist that left me with the time to write this piece on gratitude in the first place. I can’t say that I’m thankful to have broken my wrist however I am thankful for a lot of things that could have been but weren’t the outcome of this injury. This isn’t the first time that I’ve fractured my left forearm. In fact, it’s the third time that I’ve done this and I can tell you from experience both as a patient and as a physical therapist that this sort of injury usually gets worse the more you do it so when I found out at the hospital that I likely wasn’t going to need surgery for this injury you can imagine my immense joy and happiness for managing to get lucky with a mere wrist fracture. Some history on my beat-up left arm might be useful to put that joy into context.
Over a decade ago (16 years to be exact) I broke my left forearm for the first time while snowboarding when I got off balance in the air while sessioning park jumps on a slushy spring day. I instinctively stuck my left arm out straight as the ground quickly approached and when all my body weight, along with the momentum of falling from at least 10 feet up, got directed through my left arm both the radius and ulna (the two long bones in the forearm) were no match and each fractured completely near the middle of the bone. The decision to do surgery was made quickly at the hospital since it would be quite challenging to set (or reduce) both bones to regain proper alignment. A long plate was used to align each bone in a surgery called an open reduction internal fixation (ORIF) and within a few months, I was back to normal use of my left arm and thinking about how lucky I was to have gotten off so easily.
Four years later, as I was slowly improving at mountain biking, I crashed and fractured this same arm again but this time it was much worse. The ulna (the bone on the pinky side of the hand) had a compound fracture, meaning that the bone had come through the skin. The radius (the bone on the thumb side) had also fractured near the end of the plate and this injury ended up requiring two separate surgeries over the next four days that were spent in the hospital in order to remove the previous plates and then put two new plates in to regain proper alignment in both bones. The recovery from these surgeries was much longer than after the first injury four years earlier but still I eventually returned to mountain biking by the next summer. That injury was over nine years ago but the memory of it is still very sharp in my mind, so when I fell off that skinny on the north shore a few weeks ago and stuck my left arm out to break my fall I immediately assumed that I had once again fractured both bones and would surely need surgery. I also quickly came to the conclusion that I would have to find someone to take my spot on a ski trip planned for the end of February but that hopefully, I would be back to biking by at least April although I couldn’t be sure about this. Add to that the new experience of what I can only conclude was my ulnar nerve being compressed (my pinky and fourth finger started feeling like they were on fire and eventually became all I could focus on at the hospital until after the fracture was reduced) hopefully it’s now easier to understand my incredible gratitude that the orthopedic surgeon at the hospital was able to reduce my fracture so well that I won’t end up needing surgery for this one.
Pre and post reduction of the recent distal radius fracture with plates from the previous arm fracture. Photo credit: St. Joseph Hospital and Polyclinic Orthopedics
I’m thankful further that I won’t have to give up my spot on the ski trip, that I have a job that allows me to take time off work for this injury, that I will be back to biking well before April, that I have loving family and friends who support me when I’m injured, that I have my dog Zeb to hang out with all day at home, that this injury is tiny in comparison to many other situations, and maybe most of all that my fingers are back to normal.
Zeb and me. Photo credit: Jackson Dove
Throughout the year there have been many highs and a few lows. I’m grateful for the good parts and I’m learning as much as I can from the challenges. Choosing to focus on the things that I’m thankful for helps me to stay positive which in turn helps me to make progress toward my goals. Injuries and obstacles are just a part of the journey and I’m lucky to be on this journey in the first place. I’m even luckier to have the friends and family in my life to be on this journey with and I’m excited for what the next year has in store.
